海外医疗  
卡马替尼
德国RPTC 弥漫性星形细胞瘤
德国RPTC 弥漫性星形细胞瘤

星形细胞瘤简介
1.病种概述:
星形细胞瘤是最常见的神经上皮性肿瘤,据文献报道占颅内肿瘤的13%-26%,占胶质瘤的21.1%-51.6%,可发生在中枢神经系统的任何部位。
2.治疗:
目前多以手术为其主要治疗手段,但主要是针对非功能区的肿瘤和肿瘤巨大、占位明显的肿瘤。对于功能区、近功能区及深部肿瘤,若占位症状不严重,放射治疗亦可作为首选。
常规放射治疗:以术前近期颅脑CT或MRI所显示的肿瘤边缘外放1~1.5cm,DT50~56Gy,剂量分割为1.8~2Gy/次。

德国RPTC质子治疗 弥漫性星形细胞瘤1例
1.患者资料:
病种:弥漫性星形细胞瘤
性别:男
出生日期:1962年
首发时间:2014年3月

2.病历诊断:
2014年3月诊断出WHO第二期的弥漫性星形细胞瘤,位置是右边近中额叶,同时在右边乙状窦旁边还有脑膜瘤。因手术风险,病人拒绝外科手术切除肿瘤,希望通过质子治疗获得治愈。

3.质子治疗:
德国慕尼黑质子中心(RPTC)2014年5月-6月

4.放射剂量:
星形细胞瘤和脑膜瘤都接受27x2.0Gy(RBE),一周五次,总剂量54.0Gy(REB)

5.质子放射治疗分布图:

星形细胞瘤
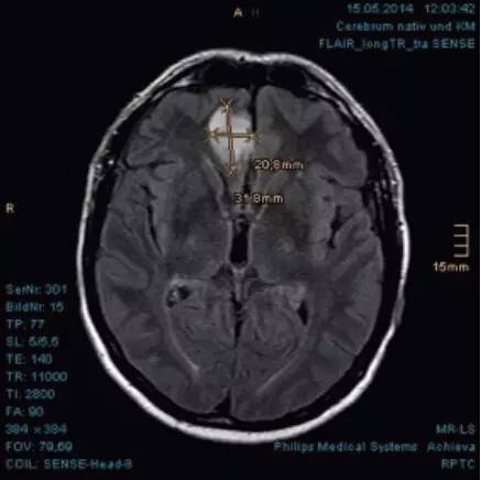
6.治疗过程影像检测:
星形细胞瘤
2014年5月15日质子治疗前肿瘤大小约为20.8x31.8mm
星形细胞瘤
2015年3月19日质子治疗后8个月肿瘤明显缩小
 
海外医疗针对疾病
胶质瘤
脊索瘤
鼻咽癌
胆管细胞癌
肝癌
肺癌
乳腺癌
结直肠癌
儿童横纹肌肉瘤
肝癌晚期
脑肿瘤
脑膜瘤
肺结节
烟雾病
大脑海绵状血管瘤
脊髓肿瘤
胶质瘤细分
星形细胞瘤
脑干胶质瘤
其他治疗方法
干细胞
细胞免疫治疗
卡马替尼
艾曲泊帕
阿伐曲波帕
靶向药物
放射治疗
卡马替尼首仿药介绍
索托拉西布首仿药介绍
海外相关内容
医疗常识
海外消息
中国海外医疗网
电话:13263277712
邮箱:81068003@qq.com
地址:北京市.丰台区
中国海外医疗网版权所有 本网站内容参考网络,如有侵权请发邮件!硼中子 出国看病网站优化 索托拉西布