出国看病  
出国看病
脑膜瘤专家研究

脑膜瘤手术成功率多少?世界神经外科学院主席Couldwell教授专业解答

  很多人因慢性头痛、突发癫痫这两大症状就诊,最终检查出来是脑膜瘤。什么是脑膜瘤,它到底是一种什么样的疾病?脑膜瘤手术成功率到底是多少?能彻底治好吗?围绕着脑膜瘤患者最为关心的这几大问题,世界神经外科学院主席、美国犹他大学医学院神经外科主席、美国脑膜瘤协会前主席William T. Couldwell教授结合当前国际前沿的脑膜瘤诊疗进展来为大家专业解答。
   脑膜瘤虽大多为良性,但也要引起重视
   临床统计显示,脑膜瘤发病率占颅内肿瘤的19.2%,大多为良性,且多呈缓慢性生长,其出现症状平均约为2.5年。肿瘤部位不同,可出现不同症状,如头痛、癫痫发作、视力、视野、嗅觉或听觉障碍及肢体运动障碍等。如肿瘤长在颅顶,多会出现头痛、癫痫发作;长在前颅底,多会出现视力下降、嗅觉消失;长在颅后窝,则表现为听力下降、面部麻木、走路不稳等。但患者往往以头痛和癫痫为首发症状。恶性脑膜瘤的生长特性、细胞形态具有恶性肿瘤的特点,并且可以发生转移。
   据世界神经外科学院主席William TCouldwell教授介绍,脑膜瘤的发病并非单一因素,可能与一定的内环境改变和基因变异有关,也可能与颅脑外伤、放射性照射、病毒感染等因素有关。虽然脑膜瘤多为良性,但随着肿瘤的长大,同样会导致颅内压升高,压迫脑组织,形成脑疝,导致中枢神经损害,危及患者生命。
   安全手术切除是脑膜瘤治疗的首要方式
   世界卫生组织(WHO)对于脑膜瘤分为三级,对于I级脑膜瘤,肿瘤生长缓慢,如无症状,可通过MRI扫描监测肿瘤。II级脑膜瘤是非典型脑膜瘤,并且通过手术治疗,术后部分患者可能需要放疗。III级脑膜瘤是非常具有攻击性的类型,需手术治疗,如果肿瘤复发则需要进行放疗。
   那么,脑膜瘤手术成功率是多少呢?世界神经外科学院主席Couldwell教授结合自身多年的脑膜瘤诊疗经验,在其《颅底脑膜瘤的外科手术和放射治疗》论文中总结指出——手术一直是首选的治疗方法,手术切除会使患者5年、10年和15年的肿瘤无进展生存率分别为93%、80%和68%。原则上应争取完全切除,并切除受肿瘤侵犯的脑膜与骨质,以期根治。

世界神经外科学院主席Couldwell教授论文《颅底脑膜瘤的外科手术和放射治疗》原文节选
  脑膜瘤手术成功率多少?世界神经外科学院主席Couldwell教授表示,脑膜瘤手术成功率与手术切除程度密切相关,切除率越高,脑膜瘤预后越好,患者生存周期越长。一般根据脑膜瘤的大小、位置以及与周围神经、血管的粘连程度来判断是否能够全部切除肿瘤。如全部手术肿瘤切除有产生难以接受的功能丧失的危险,应选择部分手术切除(次全切)。对大脑凸面的脑膜瘤,力争全切肿瘤并要切除受累硬膜以减少复发机会。
   脑膜瘤手术是个“技术活”,选医生要谨慎
   脑膜瘤手术成功率多少?部分复杂位置的脑膜瘤手术代表了颅底手术中很难的一类,对神经外科医生的显微技术要求很高。不管面对何种位置、何种大小的脑膜瘤,手术切除时都需要神经外科医生严格掌握手术适应症,具备正确的手术策略、决定正确的手术入路、熟悉局部的显微解剖、精炼掌握手术技巧,并辅以神经导航、术中磁共振及术中CT等术中监测设施。随着MRI影像技术、显微外科技术和神经电生理监测技术的不断发展和提高,已极大提高了该区域脑膜瘤的全切除率,显著降低了术后的致残率和死亡率。
   脑膜瘤手术成功率多少?尽可能地全切除脑膜瘤,同时尽量避免或减少术后并发症的发生,提高患者生存质量,成为国内外神经外科医生长期的研究课题和不懈的追求目标,这也促使越来越多的神经外科医生不断超越创新、不断精进技术水平,不断突破一个个颅底手术禁区,更大程度延长患者生命线,于是也陆续出现了很多以精湛高超的手术技术闻名世界的神经外科专家。现任的世界神经外科学院主席、美国犹他大学医学院神经外科主席、美国脑膜瘤协会前主席William T. Couldwell教授就是其中的一位。
   国际盛名的脑膜瘤治疗大师级专家Couldwell教授
William T. Couldwell教授
  Couldwell教授是美国神经外科界的大师级专家,也是享誉国际颅底外科界的主席级别专家,主要研究方向之一即是脑膜瘤的临床诊治、外科管理及其遗传性等,临床上尤其擅长脑膜瘤等脑部、颅底、垂体瘤、癫痫和脑血管神经外科等的显微外科手术。在脑膜瘤治疗方面,Couldwell教授拥有海量的脑膜瘤成功手术切除及良好预后病例,对于岩斜区、后颅窝等复杂高难度位置脑膜瘤,Couldwell教授仍能根据患者实际病情和肿瘤大小,熟练应用各种现代化高科技手术设备,采取个性化的手术入路实现极大程度的安全手术切除。Couldwell教授因其在脑膜瘤等颅底外科方面的专长而被国际医学界认可,并经常应邀作为演讲人并指导颅底外科课程。
  病例1:72岁男性,脑膜瘤,计算机断层扫描(CT)和磁共振(MR)图像显示相关的海绵窦受累。
   A:影像资料显示,没有临床动眼神经麻痹或面部感觉丧失的证据。注意大的左侧岩斜区脑膜瘤伴有明显的海绵窦受累。
   B:结合眶上和幕下岩石方法后,肿瘤从后颅窝切除。术后CT显示切除后颅窝组件,脂肪移植物置于颞骨缺损处
   C:三个月的术后MR图像显示海绵窦中的有部分残留肿瘤。
   D:患者在3年随访期间肿瘤无进展,患者双眼视力无临床表现。
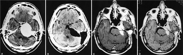
  病例2:57岁女性,磁共振(MR)成像和计算机断层扫描(CT)显示一名患有步态共济失调和头痛的脑膜瘤粘连。A:术前检查发现轻度耳聋和步调不稳。通过显微外科手术方法切除大的右岩斜区肿瘤,在手术中,注意到内侧肿瘤密集地附着于脑干,决定实施次全切。术后即刻CT扫描(B)和2年后的随访MR研究(C)的比较表明没有进展的证据。
   (注:以上病例来自世界神经外科学院主席William T. Couldwell教授论文山《岩斜区脑膜瘤:手术经验109例》)
   此外,Couldwell教授发表了400篇同业评审的专业文章,著述了超过100本书籍章节、7本专业书籍,且多次获得了美国联邦与其他研究款项。他还是美国神经外科医师协会的全世界同行评审、电子出版物 Neurosurgical Focus 的主编,曾在多家专业期刊的编辑委员会任职,包括AANS神经外科医生、神经病学杂志、神经外科和精神病学、神经肿瘤学杂志和神经外科杂志。
   Couldwell教授是INC国际神经外科医生集团的成员教授之一。作为一个由多位世界闻名的神经外科教授自发组织成立的国际神经外科医生集团,INC旗下成员均由世界神经外科联合会(WFNS)及各国神经外科协会主席级别的教授组成。他们分别代表美国、欧洲、日本乃至全世界至高的神经外科水平,分别任职各自领域的世界相关协会主席。INC一直致力于中外神经外科技术的交流、合作、促进和提高,同时针对中国有需要的脑膜瘤、垂体瘤、脑胶质瘤、脊髓肿瘤、脑血管畸形病变、动脉瘤等神经外科特别疑难手术病例,提供世界水准的国际诊疗和手术方案。
   当你或亲朋好友得了脑膜瘤,如果想尽可能精准全面地切除肿瘤占位以达到更高的生存率,或是面临需要高难度手术、国内治疗无果的情况,都可以考虑接受INC国际神经外科医生集团旗下包括Couldwell教授在内的众多世界神经外科大师的会诊和治疗。 更多出国治疗费用、流程、评估,欢迎电话咨询400-029-0925。
 
 
脑膜瘤
  脑膜瘤是起源于脑膜及脑膜间隙的衍生物,发病率占颅内肿瘤19.2%,居第2位,女性:男性为2:1,发病高峰年龄在45岁,儿童少见,许多无症状脑膜瘤多为偶然发现。多发脑膜瘤偶尔可见,文献中有家族史报告。50%位于矢状窦旁,另大脑凸面,大脑镰旁者多见,其次为蝶骨嵴、鞍结节、嗅沟、小脑桥脑角与小脑幕等部位,生长在脑室内者很少,也可见于硬膜外。其它部位偶见。
脑膜瘤
脑膜瘤分型
脑膜瘤探秘
 
其他肿瘤
胶质瘤
烟雾病
肺癌
肝癌
大脑海绵状血管瘤
 
中国海外医疗网脑膜瘤频道 版权所有 2012-2020  本网站内容参考网络,如有侵权请发邮件!出国看病 海外医疗 质子重离子医院